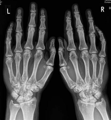
Osteopathia Striata / КСС. Остеопатия. Osteopathia striata. + | Портал радиологов / Evidence for postnatal development of.

Osteopathia Striata / КСС. Остеопатия. Osteopathia striata. + | Портал радиологов / Evidence for postnatal development of.. Here, we report a case of osteopathia striata with cranial sclerosis in a male baby. J bone joint surg br. Osteopathia striata with cranial sclerosis (oscs; Report of a case presenting features of osteopathia striata and osteopetrosis. Osteopathia striata is occasionally associated with other syndromes.

What gene changes cause osteopathia striata with cranial sclerosis? Male child with somatic mosaic osteopathia striata with cranial sclerosis caused by a novel pathogenic amer1 frameshift mutation. Department of medical genetics, university and university hospital of antwerp, 2610 antwerp, belgium. Osteopathia striata with cranial sclerosis (oscs; It is often asymptomatic, and is often discovered incidentally.

Osteopathia striata with cranial sclerosis, Wilms' tumor ...
Osteopathia striata with cranial sclerosis, Wilms' tumor ... from f6publishing.blob.core.windows.net
Here, we report a case of osteopathia striata with cranial sclerosis in a male baby. Osteopathia striata is an uncommon sclerosing bone dysplasia that remains mostly asymptomatic. Osteopathia striata with cranial sclerosis (oscs; Description, causes and risk factors: Department of medical genetics, university and university hospital of antwerp, 2610 antwerp, belgium. Multiple condensations of cancellous bone beginning at the epiphyseal line and extending into the diaphysis, an abnormality seen only on radiographic examination. Osteopathia striata is occasionally associated with other syndromes. Osteopatia striata este o entitate rară caracterizată prin striații liniare fine de aproximativ 2 până la 3 mm grosime.

Osteopathia striata is an uncommon sclerosing bone dysplasia that remains mostly asymptomatic.

A case of osteopathia striata, childhood cataracts, short stature, elbow deformity, and microdontia with rhizomicry in a white male is reported. It is often asymptomatic, and is often discovered incidentally. Typically, osteopathia striata is diagnosed based on its characteristic findings on imaging. De la wikipedia, enciclopedia liberă. Osteopathia striata is an uncommon sclerosing bone dysplasia that remains mostly asymptomatic. Osteopatia striata este o entitate rară caracterizată prin striații liniare fine de aproximativ 2 până la 3 mm grosime. Osteopathia striata associated with familial dermopathy and white forelock: J bone joint surg br. Osteopathia striata (os) with cranial sclerosis is a rare and potentially symptomatic form of os (voorhoeve disease), one of the sclerosing bone dysplasias that usually have few or even no clinical. Description, causes and risk factors: The mother had two previous pregnancies in which the male fetus had multiple anomalies. Osteopathia striata, also known as voorhoeve's disease, is a benign autosomal dominant or sporadically inherited disorder in bone formation first described by voorhoeve in 1924. Osteopathia striata is an asymptomatic disease, usually discovered accidentally during a radiological survey for other reasons.

Osteopathia striata features linear striations at the ends of long bones and in the ileum,25 and is a curiosity when the skeletal findings occur alone as an autosomal dominant trait. Male child with somatic mosaic osteopathia striata with cranial sclerosis caused by a novel pathogenic amer1 frameshift mutation. Typically, osteopathia striata is diagnosed based on its characteristic findings on imaging. The mother had two previous pregnancies in which the male fetus had multiple anomalies. Osteopathia striata is an asymptomatic disease, usually discovered accidentally during a radiological survey for other reasons.

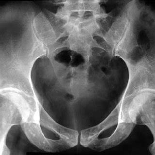
Overlap syndrome in a 25- year-old man. Pelvic radiograph ...
Overlap syndrome in a 25- year-old man. Pelvic radiograph ... from www.researchgate.net
Male child with somatic mosaic osteopathia striata with cranial sclerosis caused by a novel pathogenic amer1 frameshift mutation. Description, causes and risk factors: Osteopathia striata features linear striations at the ends of long bones and in the ileum,25 and is a curiosity when the skeletal findings occur alone as an autosomal dominant trait. De la wikipedia, enciclopedia liberă. Here, we report a case of osteopathia striata with cranial sclerosis in a male baby. Osteopathia striata is an uncommon sclerosing bone dysplasia that remains mostly asymptomatic. Multiple condensations of cancellous bone beginning at the epiphyseal line and extending into the diaphysis, an abnormality seen only on radiographic examination. Osteopatia striata este o entitate rară caracterizată prin striații liniare fine de aproximativ 2 până la 3 mm grosime.

Osteopathia striata is an asymptomatic disease, usually discovered accidentally during a radiological survey for other reasons.

Clinical, genetic and radiologic considerations. Osteopathia striata with cranial sclerosis (oscs; A case of osteopathia striata, childhood cataracts, short stature, elbow deformity, and microdontia with rhizomicry in a white male is reported. Osteopathia striata is an uncommon sclerosing bone dysplasia that remains mostly asymptomatic. Osteopathia striata associated with familial dermopathy and white forelock: Description, causes and risk factors: Osteopathia striata is an asymptomatic disease, usually discovered accidentally during a radiological survey for other reasons. It is often asymptomatic, and is often discovered incidentally. Osteopathia striata, also known as voorhoeve's disease, is a benign autosomal dominant or sporadically inherited disorder in bone formation first described by voorhoeve in 1924. Multiple condensations of cancellous bone beginning at the epiphyseal line and extending into the diaphysis, an abnormality seen only on radiographic examination. Osteopathia striata features linear striations at the ends of long bones and in the ileum,25 and is a curiosity when the skeletal findings occur alone as an autosomal dominant trait. Here, we report a case of osteopathia striata with cranial sclerosis in a male baby. Osteopathia striata, also known as voorhoeve disease, is a rare, benign sclerosing bone dysplasia, involving the epiphysis and metaphysis of tubular bones.

Osteopathia striata, also known as voorhoeve disease, is a rare, benign sclerosing bone dysplasia, involving the epiphysis and metaphysis of tubular bones. A case of osteopathia striata, childhood cataracts, short stature, elbow deformity, and microdontia with rhizomicry in a white male is reported. Evidence for postnatal development of. Osteopathia striata, also known as voorhoeve's disease, is a benign autosomal dominant or sporadically inherited disorder in bone formation first described by voorhoeve in 1924. Osteopatia striata este o entitate rară caracterizată prin striații liniare fine de aproximativ 2 până la 3 mm grosime.

Vertical striations around the knee in osteopathia striata ...
Vertical striations around the knee in osteopathia striata ... from www.researchgate.net
It is often asymptomatic, and is often discovered incidentally. Osteopathia striata with cranial sclerosis (oscs; Osteopathia striata is an uncommon sclerosing bone dysplasia that remains mostly asymptomatic. What gene changes cause osteopathia striata with cranial sclerosis? Clinical, genetic and radiologic considerations. Here, we report a case of osteopathia striata with cranial sclerosis in a male baby. It is often asymptomatic, and is often discovered incidentally. Osteopathia striata (os) with cranial sclerosis is a rare and potentially symptomatic form of os (voorhoeve disease), one of the sclerosing bone dysplasias that usually have few or even no clinical.

Osteopathia striata is an asymptomatic disease, usually discovered accidentally during a radiological survey for other reasons.

Osteopathia striata, also known as voorhoeve's disease, is a benign autosomal dominant or sporadically inherited disorder in bone formation first described by voorhoeve in 1924. Male child with somatic mosaic osteopathia striata with cranial sclerosis caused by a novel pathogenic amer1 frameshift mutation. Multiple condensations of cancellous bone beginning at the epiphyseal line and extending into the diaphysis, an abnormality seen only on radiographic examination. It is often asymptomatic, and is often discovered incidentally. Osteopathia striata with cranial sclerosis (oscs; Osteopathia striata is an asymptomatic disease, usually discovered accidentally during a radiological survey for other reasons. J bone joint surg br. Osteopathia striata is an uncommon sclerosing bone dysplasia that remains mostly asymptomatic. Osteopatia striata este o entitate rară caracterizată prin striații liniare fine de aproximativ 2 până la 3 mm grosime. It is often asymptomatic, and is often discovered incidentally. Osteopathia striata, also known as voorhoeve disease, is a rare, benign sclerosing bone dysplasia, involving the epiphysis and metaphysis of tubular bones. The mother had two previous pregnancies in which the male fetus had multiple anomalies. Department of medical genetics, university and university hospital of antwerp, 2610 antwerp, belgium.

Department of medical genetics, university and university hospital of antwerp, 2610 antwerp, belgium osteopath. Osteopathia striata is an asymptomatic disease, usually discovered accidentally during a radiological survey for other reasons.

Posting Komentar

0 Komentar